Che cosa è la ecografia  per valutare la cervice uterina ?
E' un ecografia finalizzata a misurare la lunghezza delle cervice uterina (collo uterino) e vedere se è presente una dilatazione dell' orificio uterino interno (funneling). 
Si esegue a vescica vuota per via transvaginale.


Quando si esegue?
Dalla 11 settimana di gestazione in poi. In alcuni casi  può essere utile eseguirla più precocemente.


A cosa serve?
Vedere se  vi è un rischio aumentato di parto pretermine o aborto tardivo
Valutare la posizione della placenta in caso di suo basso impianto (placenta previa)
Valutare la necessità e l' efficacia della terapia medica somministrata per la minaccia diparto pretermine, minaccia di aborto
Valutare la necessità di un cerchiaggio cervicale
Valutare la corretta posizione di un cerchiaggio cervicale



  
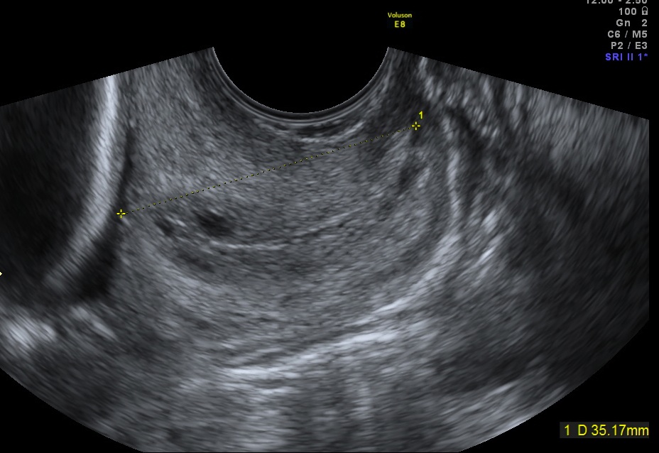
Esempio di cervice normale- La lunghezza del Esempio di una cervice raccorciata senza canale cervicale è di 35 mm funneling. La lunghezza del canale cervicale è 20 mm Esempio di cervice normale lunghezza della cervice (40 mm) ma con la placenta che ricopre l' orificio uterino interno (placenta previa centrale)